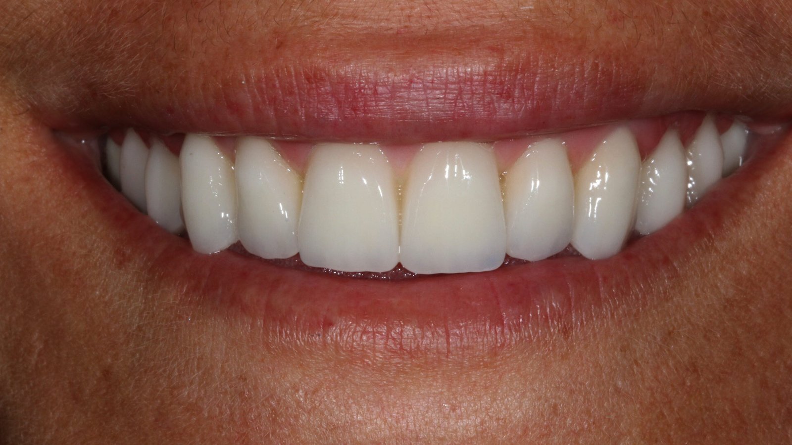
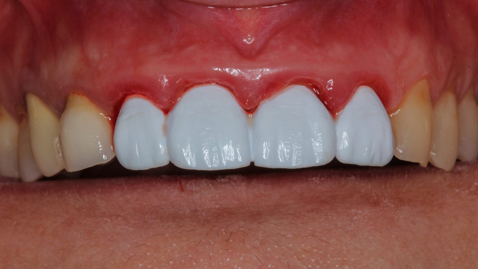
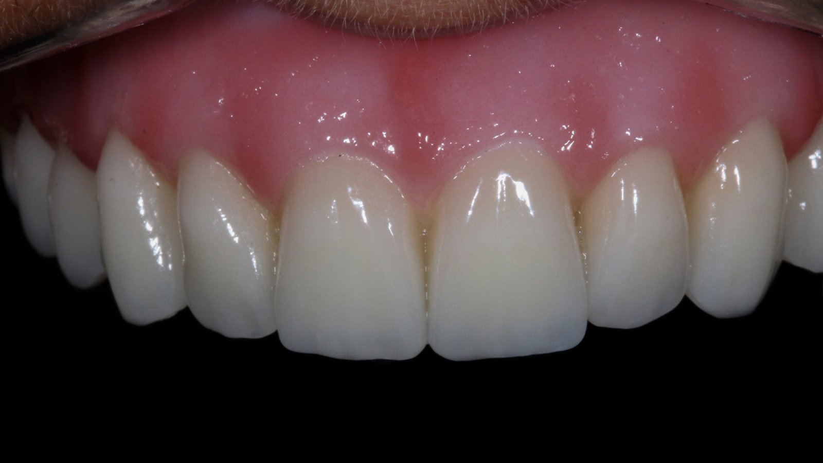
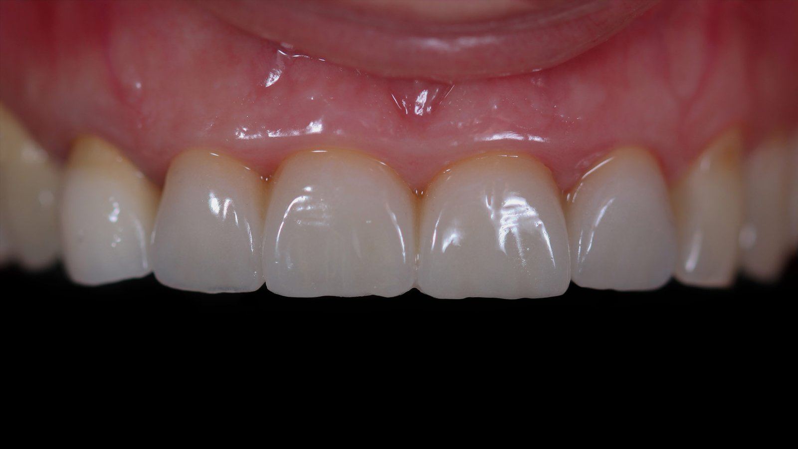
CASOS CLÍNICOS

Conozca nuestro trabajo, etapas de proceso y los detalles de acabado en cada pieza de nuestros profesionales.

ZahnLab